罗氏KAPA2G DNA聚合酶—PCR界的多、快、好、省
转自罗氏诊断生命科学公众号
聚合酶链式反应(Polymerase Chain Reaction,PCR)是一种用于放大扩增特定DNA片段的分子生物学技术,其核心就是DNA聚合酶。目前分子生物学领域中很多都是使用野生型的DNA聚合酶,如Taq DNA聚合酶等天然形式存在的酶。野生型的Taq聚合酶由于本身的结构导致功能有限,经常会遇到如扩增效率低,特异性差,启动速度慢,模板GC含量异常等扩增不出的问题。随着新兴技术的发展,对DNA扩增酶的需求越来越高,能否进行快速扩增、能否有效扩增复杂样本、能否进行多重扩增成为DNA扩增酶亟待解决的问题。

2018年,来自加州理工学院的Frances H. Arnold教授因为“酶的定向进化”这一领域的贡献,获得诺贝尔化学奖。定向进化允许对酶功能进行持续改进,例如提高热稳定性、比活性、持续合成能力或对抑制剂的抗性。Roche旗下Kapa Biosystems成功利用其定向进化技术(Directed evolution technology platform)设计出KAPA2G快速热启动DNA聚合酶。KAPA2G快速热启动DNA聚合酶是抗体介导的热启动聚合酶,具有更高的扩增性能和速度。其具有1 s/kb的延伸速度,相比于野生型Taq DNA聚合酶1min/kb的扩增速度,能够极大地缩短总循环时间。在具有强大的扩增速度下,KAPA2G快速热启动DNA聚合酶同时具有相当强大的“耐受”能力,面对粗制样本、GC异常样本均具有优秀的扩增能力。另外在多重扩增方面也表现优秀。针对当前PCR面临的“快速、稳健和多重”的痛点,KAPA2G系列分别能够提供KAPA2G Fast、KAPA2G Robust和KAPA2G Multiplex三种类型的产品,真正是PCR里的多、快、好、省。
KAPA2G系列产品适合的应用:
多重PCR扩增
法医学检测
多重扩增毛细管电泳检测
宏基因组测序mNGS
病原靶向测序tNGS
遗传病多重扩增检测
“多”重
—KAPA2G Fast HS Multiplex
KAPA2G Fast HS Multiplex试剂盒包含KAPA2G快速热启动DNA 聚合酶。除了具有快速扩增速度外,KAPA2G Fast HS Multiplex还能提供更高的产量和灵敏度,与高度多重的PCR。
高通量测序现在已经广泛用于病原微生物和肿瘤检测,但是不同起始样本质量参差不齐,部分样本中某些基因丰度太低,直接进行建库测序可能导致结果不准确甚至出现漏检。斯坦福大学的Zhang1等人利用KAPA2G Fast HS Multiplex进行测序前的预扩增,能够将样本中靶基因丰度提升1000倍左右,有效的提高整体检测准确性和完整度。另外NGS测序的结果验证同样重要,目前常用的方法是进行RT-PCR验证,常见的RT-PCR一次只能检测一到二个基因。Miljani´c2等利用KAPA2G Fast HS Multiplex建立多重RT-PCR技术—mRT-PCR(Multiplex),能够对测序结果进行快速高效验证。病原靶向测序技术是一种新型技术,将超多重PCR扩增与高通量测序两种技术结合,可以对待测样本中几十种至几百种的目标基因进行检测。这种方法的提前就是需要DNA扩增酶具有强大的多重扩增能力。Franken3等利用KAPA2G Fast HS Multiplex的超多重扩增能力,建立了一种基于靶向基因多重扩增高通量测序的方法,用于提高乳腺癌的靶向治疗。

图A:使用KAPA2G Fast Multiplex进行快速多重PCR可以节省 40 – 60% 的时间。
图B:使用KAPA2G Fast Multiplex进行GC丰富的多重PCR(6 重)实验,能够有效扩增全部目标片段。
数据来源:罗氏诊断实验室整理
✦ +
+
KAPA2G Fast Multiplex特点:
01
节省时间
预混液无需过多优化,对多重PCR体系缩短循环时间高达60%
02
强劲多重性能
KAPA2G Fast Multiplex对应对富含GC或AT序列的靶标均具有优秀性能,同时对体系中超多重靶标扩增具有优秀均一性
“快”速
—KAPA2G Fast
KAPA2G Fast试剂盒是一款旨在解决快速PCR的产品。相比于野生型Taq聚合酶,其有用更高的合成能力和速度。除了超快的扩增速度,KAPA2G Fast还提供能够具有更高的扩增效率和扩增能力。

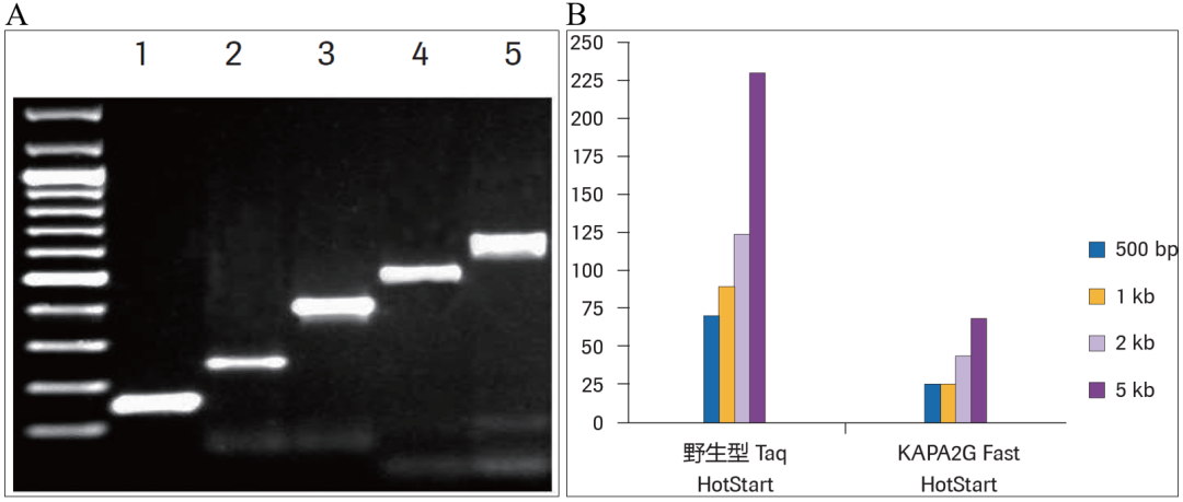
图A:KAPA2G Fast HotStart聚合酶有效扩增5个不同大小的人基因片段,其中延伸时间为1秒/循环。
图B:使用野生型Taq DNA聚合酶和KAPA2G Fast DNA聚合酶扩增人基因组DNA (≤3.5 kb) 和lambda (≤5 kb)不同长度片段的总反应时间,反应时间基于试剂盒推荐的35循环程序。
数据来源:罗氏诊断实验室整理
✦ +
+
KAPA2G Fast特点:
01
节省宝贵时间
延伸时间可达到1秒/kb,减少PCR反应时间达75%
02
应对复杂模板
覆盖高AT和高GC含量的靶标
03
持续提升PCR反应的开发
热启动和即用型制式
“好”扩
—KAPA2G Robust
KAPA2G Robust试剂盒通过更高的合成速率和特异性赋予PCR更加强健的表现、更高的灵敏度和更好的常规反应抑制剂耐受能力。KAPA2G Robust试剂盒适用于复杂困难样本类型等具有挑战性的PCR应用,无需在酶类选择和反应方案层面的过多优化。
进行PCR反应过程中是常常会遇到模板异常的情况,比如粗制提取,含有各种PCR抑制物,或者GC丰度异常的样本,这类型样本在进行高通量测序时难以直接进行建库,非常考验建库DNA酶扩增能力。TERT(telomerase reverse transcriptase)启动子突变的检测是诊断胶质母细胞瘤的关键因子,然而TERT启动子的GC含量在80%以上,一般的DNA聚合酶难以进行扩增。Ward4等利用KAPA2G Robust对模板高GC的耐受能力,成功扩增TERT启动子并开展下游的测序工作。

图A:使用KAPA2G Robust和野生型Taq 聚合酶,在四种常见PCR抑制剂存在的条件成功扩增出从1pg质粒DNA扩增1.5kb片段。
图B:使用KAPA2G Robust对72种不同GC含量的PCR产物进行扩增。
数据来源:罗氏实验室整理
✦ +
+
KAPA2G Robust特点:
01
轻松应对粗提样本
KAPA2G Robust对抑制剂残留和粗提样本PCR有很高的耐受能力(例如FFPE样本)
02
在具有挑战性的应用中实现高灵敏度
每单位酶呈现高得率
03
提升复杂困难样本的 PCR 表现
应对富含GC和AT序列的靶标并且减少您的反应优化时间
“省”心
—罗氏诊断的品质保证
罗氏生命科学部的工业原料产品作为罗氏产品大家族中的一员,秉承了罗氏公司一贯坚持的高品质特性,为各生产企业、大型研究所、研发中心等提供上佳的原料来源,包括分子诊断、临床生化、免疫检测和生物制药等各应用领域。除了高品质的产品外,提供高水准的产品服务和技术服务也是罗氏诊断致力追求的目标。我们期待着和您携手共进,赢向未来。
|
产品 |
规格 |
货号 |
|
KAPA2G Fast HS |
12500U |
7983239001 |
|
KAPA2G Robust Hotstart Ready Mix预混液 |
12.5mL |
08041113001 |
|
KAPA2G Fast HS Multiplex预混液 |
50mL |
09077898001 |
参考文献:
-
Zhang R, Li X, Ramaswami G, et al. Quantifying RNA allelic ratios by microfluidic multiplex PCR and sequencing. Nature methods, 2014, 11(1): 51-54.
-
Miljanić V, Jakše J, Rusjan D, et al. Small RNA Sequencing and Multiplex RT-PCR for Diagnostics of Grapevine Viruses and Virus-like Organisms. Viruses, 2022, 14(5): 921.
-
Franken A, Rivandi M, Yang L, et al. A multiplex PCR-based next generation sequencing-panel to identify mutations for targeted therapy in breast cancer circulating tumor cells. Applied Sciences, 2020, 10(10): 3364.
-
Ward D G, Baxter L, Gordon N S, et al. Multiplex PCR and next generation sequencing for the non-invasive detection of bladder cancer. PloS one, 2016, 11(2): e0149756.
*不用于临床诊断。MC-CN-02503 有效期至2025年11月8日。
END









